
感冒虽然常见,但是换上感冒还是会让人难受,尤其冬天天气寒冷,感冒也不容易好,下面就跟随我们来了解一下10个小妙招告别感冒困扰。10个小妙招告别感冒困扰1、多喝酸奶肠道是人体最重要的消化和吸收器官,……

受肥胖和不良生活方式的影响,现今患非酒精性脂肪肝的人越来越多。该疾病如果得不到及时控制,会逐步恶化,最终甚至需要肝移植。下面我们总结了保护肝脏的6个关键点。1、离开沙发动起来。让运动成为习惯是护肝……

管好高血压,从每天清晨开始,特别是每天6至10点的血压!下面跟随我们了解一下吧!很多人的清晨血压没管好并不是每个高血压患者都有头晕、头疼等症状。很多高血压患者从来没有症状,从来不知道自己有这个病,……

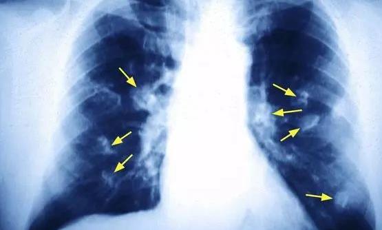
我国国家癌症中心的最新报告显示,肺癌是女性第二高发的癌症,仅次于乳腺癌。40-50岁女性中肺癌患者人数已经接近男性,达到了1:1的比例。但是国内女性的吸烟率很低,为何发生肺癌的概率却如此&ldqu……

膝盖痛是现代都市人常见的症状。久坐不动、身体衰老、锻炼过度等都可能造成膝盖痛,给生活带来不便。下面跟随我们了解一下吧!减轻膝盖疼痛的有效方法减轻体重 :体重是膝盖问题的主因。你每超重一磅,你的膝盖……

不久前一位司机有段时间时常感到乏力、浑身酸痛、发热等,无法正常工作。到医院检查后,医生确诊他得了“懒汉病”!这种病在网络上也引发了热议。那么究竟“懒汉病&rdq……

甘油三酯这个名字十分熟悉和常见,但是它其实到底是什么东西,相信很多人都不知道,对着它好像似懂非懂,感觉应该是身体里的一种物质。那么它到底是什么呢,经常听到人们说的甘油三酯高又是什么原因呢?下面跟随……

气血不足怎样调养是一件值得大家注意的问题,平时的时候其实有很多需要我们注意的地方,气血不足对于身体的影响也是很大的,也是会引起一些疾病的发生,所以说我们今天跟随我们来详细的了解一下气血不足怎样调节……

神经衰弱有什么症状表现呢,平时在生活中其实神经衰弱是经常会出现的一些症状,当然,造成这一类情况的原因是有很多的,表现也是不一样的,对于这一类的病情很多人其实是不太清楚怎么回事的,也是想要详细的了解……

类风湿关节炎是关节炎中最厉害的其中一种,疾病发生对于患者的生活工作都会造成很大的影响,那么类风湿患者朋友平时应该怎样护理好自己减少疾病带来的伤害呢?今天就让我们跟随我们一起来总结了解一下。类风湿关……

很多人在睡觉的时候都会出现突然抽搐的情况,尤其是在睡梦中的时候,可能猛然剧烈的抽搐会导致突然的惊醒,给人留下非常恐惧的感觉。下面和我们一起来看看吧。为什么睡觉的时候会突然抽搐呢,有的人把这种现象解……